Tel:
+91-9999999702
Email Us:
info@dentistinsouthdelhi.com
Home
Why Us
About Clinic
Technology
Lab
Charges
Media
Meet The Doctors
Treatment
Dental Implant
Cosmetic Dentistry
Smile Makeover
TMJ Treatment
Laser Dentistry
Orthodontics
Root Canal Treatment
Patient Gallery
Clinic Tour
International Patient
Contact Us
Patient Gallery - Dental Clinic In Delhi,
Dentist In South Delhi
Home
Patient Gallery
Make An Appointment
Dental Treatment
Dental Implant
Cosmetic Dentistry
Smile Makeover
TMJ Treatment
Laser Dentistry
Orthodontics
Root Canal Treatment
Patient
Gallery
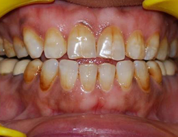
Before
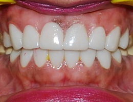
After
Before
After
Before
After
Before
After
Before
After
Before
After
Before
After
Before
After
Before
After
Before
After
Before
After
Before
After
Before
After
Before
After
Before
After
Before
After
Before
After
Before
After
Before
After
Before
After
Before
After
Before
After
Before
After
Before
After